當代牙醫數位一日美齒中心
  • 關於美齒中心
    • 一日美齒中心
    • 治療理念
    • 最新消息
    • 表單下載
  • 醫療團隊
    • 沈志容主任
    • 任杏嫦副主任
    • 溫奕鑫醫師
  • 診療項目
    • DSD微笑設計
    • 陶瓷貼片
    • 全瓷牙冠
    • 牙齒美白
    • 3D 齒雕
    • AI模擬
  • 環境設備
    • ZUMAX顯微鏡
    • 數位口掃系統
    • 數位臉部掃描儀
    • 水雷射治療儀
    • CT牙科電腦斷層
    • 四軸研磨機
    • 五軸研磨機
    • 二氧化鋯燒結爐
    • 溫控光固機
    • 自動清洗機
    • 3D印表機
  • 網紅案例
  • 一日美齒案例
    • 拆舊貼片、假牙
    • 拆樹脂貼片
    • 微矯正、微調排列
    • 四環黴素、補牙染色
    • 全口重建、牙齒磨耗
  • 影片專區
  • 門診資訊
  • 交通資訊
  • 關於美齒中心
    • 一日美齒中心
    • 治療理念
    • 最新消息
    • 表單下載
  • 醫療團隊
    • 沈志容主任
    • 任杏嫦副主任
    • 溫奕鑫醫師
  • 診療項目
    • DSD微笑設計
    • 陶瓷貼片
    • 全瓷牙冠
    • 牙齒美白
    • 3D 齒雕
    • AI模擬
  • 環境設備
    • ZUMAX顯微鏡
    • 數位口掃系統
    • 數位臉部掃描儀
    • 水雷射治療儀
    • CT牙科電腦斷層
    • 四軸研磨機
    • 五軸研磨機
    • 二氧化鋯燒結爐
    • 溫控光固機
    • 自動清洗機
    • 3D印表機
  • 網紅案例
  • 一日美齒案例
    • 拆舊貼片、假牙
    • 拆樹脂貼片
    • 微矯正、微調排列
    • 四環黴素、補牙染色
    • 全口重建、牙齒磨耗
  • 影片專區
  • 門診資訊
  • 交通資訊
當代牙醫數位一日美齒中心

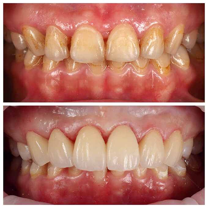
<P ALIGN=LEFT>[曾小姐]</p>主訴:矯正完覺得牙齒很黃希望更完美

首頁 / <P ALIGN=LEFT>[曾小姐]</p>主訴:矯正完覺得牙齒很黃希望更完美



分享到
當代牙醫數位一日美齒中心
  • 0800-888296
  • 桃園市中壢區中央西路二段47號
  • Designed by GTUT
  • 網站地圖
  • 管理 Cookies
  • 本站最佳瀏覽環境請使用 Google Chrome、Firefox 或 Edge 以上版本
  • 本網站禁止任何網際網路服務業者擷取或轉載內容